详细标注版——颅脑CT正常解剖图谱
(一)软组织窗轴位解剖图


图1-1-1 经顶骨轴位切面
顶骨 位于颅盖的中部,左右各一,呈四边形,为外凸内凹典型的扁骨

图1-1-2 经上矢状窦轴位切面
上矢状窦 为单一的硬脑膜静脉窦,位于大脑镰上缘,前起于盲孔,后连于窦汇;收纳大脑上静脉、硬脑膜静脉和颅骨静脉的血液,注入窦汇或直接分流至左、右横窦;通过顶、枕部导血管与颅外静脉交通。此外,脑脊液经蛛网膜颗粒最后入矢状窦

图1-1-3 经中央旁小叶上部轴位切面
中央沟 起于半球中点稍后方,斜向前下方,下端与外侧沟隔一脑回,上端延伸至半球内侧面,是额叶与顶叶的分界线。大脑镰 由硬脑膜形成,呈正中矢状位,前窄后宽,似镰刀状,分隔左、右大脑半球;其上、下缘分别有上矢状窦和下矢状窦,前下缘附着于鸡冠,后下缘与小脑幕相连,连接处形成直窦

图1-1-4 经中央旁小叶下部轴位切面
中央后回 中央沟和中央后沟之间,是躯体初级躯体感觉区,接受丘脑腹后核的纤维,精确感受对侧半身痛、温、触、压觉以及位置觉和运动觉,也发出纤维组成锥体束,受损时表现为对侧偏身感觉障碍,实体感觉丧失。中央旁小叶 中央前、后回移行至内侧面的部分,前部为初级躯体运动区,后部为初级躯体感觉区

图1-1-5 经半卵圆中心轴位切面
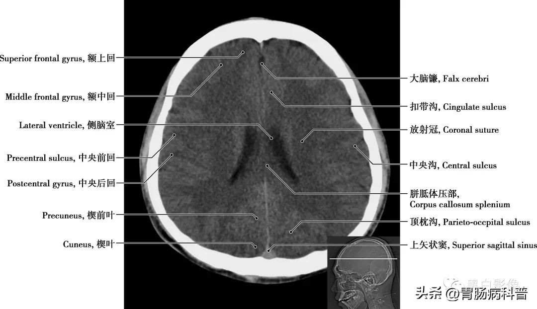
额上回 在中央前沟的前方有额上沟和额下沟,被两沟分隔的是额上回、额中回和额下回。楔前叶 位于顶叶内侧部分,与许多高水平的认知功能有关,如情景记忆,自我相关的信息处理,以及意识的各个方面,但是并不确切

图1-1-6 经扣带回轴位切面
半卵圆中心 为大脑半球中心呈半卵圆形的白质区,主要由胼胝体的辐射纤维以及经内囊的投射纤维等组成。其髓质有三种纤维:①投射纤维,连接大脑皮质和皮质下诸结构,呈扇形放射,称辐射冠;②联络纤维,连接一侧半球内各部皮质区的纤维,人脑联络纤维极为发达,与其他两种纤维相比数量最多;③联合纤维,连接左、右大脑半球相应皮质区

图1-1-7 经侧脑室体部轴位切面
侧脑室 由额角、体部、颞角、枕角组成,额角和体部的内侧壁为透明隔,胼胝体和额角密切相关,胼胝体的下方和膝部形成了侧脑室前角的顶部和侧壁,室间孔为前角的后界,侧壁是尾状核头的中间区。楔叶 距状沟将枕叶分为上下两回,上方为楔叶,其前界为顶枕沟,楔叶视皮质接受双眼同侧半上部视网膜束的冲动

图1-1-8 经胼胝体膝部轴位切面
尾状核 位于丘脑背外侧,呈“C”形,全长伴随侧脑室,分头、体、尾三部分,尾状核和壳称新纹状体。尾状核与随意运动的稳定、肌紧张的调节密切相关,并有认知功能;受损可导致多种运动和认知障碍,新纹状体病变可导致舞蹈症

图1-1-9 经室间孔轴位切面
松果体 位于间脑脑前丘和丘脑间,为一豆状小体,其一端借细柄与第三脑室顶相连,第三脑室凸向柄内形成松果体隐窝。松果体通过分泌褪黑激素,影响和干预人类的许多神经活动,如睡眠与觉醒、情绪、智力等,还可合成多种肽类激素

图1-1-10 经第三脑室轴位切面
第三脑室 位于间脑中央,为两侧丘脑和下丘脑之间的矢状窄隙,前方借室间孔与侧脑室相通,后方与第四脑室相通。丘脑 为间脑最大的卵圆形灰质核团,位于第三脑室两侧,左、右丘脑借灰质团块相连,其被“丫”形白质板分成前、内侧和外侧三大核群。受损时,对侧偏身感觉减退,对侧动作性震颤或偏身共济失调伴舞蹈徐动症,情绪不稳等

图1-1-11 经大脑脚轴位切面
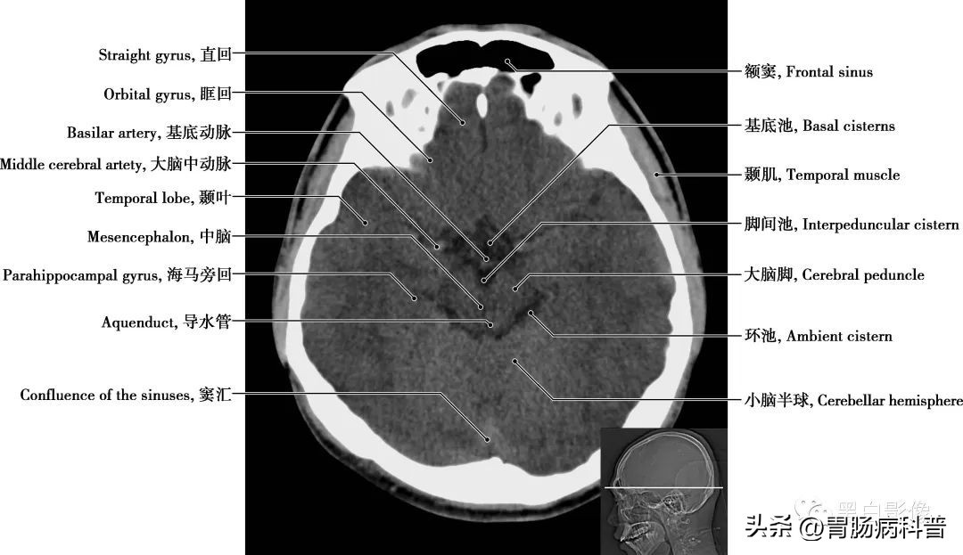
中脑 介于间脑与脑桥之间,是视觉以及听觉的反射中枢。所有大脑皮层与脊髓间的上行及下行神经通路都经过中脑,同时通过白质与其他中枢神经系统的分部相联系。环池 在中脑外侧连接于四叠体池和脚间池之间,其内有大脑后动脉、小脑上动脉、脉络丛前动脉、脉络丛后动脉、基底动脉和滑车神经,为脑脊液循环的必经之路

图1-1-12 经脑桥轴位切面
第四脑室 位于小脑、延髓和脑桥间,上接中脑导水管,下通脊髓中央管。接受第三脑室的脑脊液,并通过中孔或侧孔流向蛛网膜下腔,进入静脉系统。底部呈菱形,脑桥与延髓的神经核团多与此相毗邻。小脑半球 按功能可分为:前庭小脑,调整肌紧张,维持身体平衡;脊髓小脑,控制肌肉的张力和协调;大脑小脑,影响运动的起始、计划和协调

图1-1-13 经海绵窦轴位切面
垂体 位于下丘脑的腹侧,为一卵圆形小体。分为腺垂体,包括远侧部、结节部和中间部;神经垂体由神经部和漏斗部组成,神经垂体较小,由第三脑室底向下突出形成。垂体分泌多种激素,如生长激素、促甲状腺激素、促肾上腺皮质激素、促性腺素、催产素、催乳素、黑色细胞刺激素等,还能够贮藏下丘脑分泌的抗利尿激素

图1-1-14 经第四脑室中央轴位切面
脑桥 位于延髓上方,腹面膨大的部分为脑桥基底部,基底部向两侧变窄,称脑桥臂,与后方小脑相联系。基底部外侧有三叉神经出脑,横沟里由内向外依次有展神经、面神经和位听神经,有调整呼吸、调节肌肉运动等功能

图1-1-15 经第四脑室下部轴位切面
乙状窦 是两侧横窦前下方的延续,横窦离开小脑幕边缘以柔和的“S”形曲线形成乙状窦流入颈静脉球,乙状窦最后变成双侧颈内静脉而终止。颈内动脉 分为颅外段和颅内段,颅内段分为C 1 颈段、C 2 岩段、C 3 破裂(孔)段、C 4 海绵窦段、C 5 床段、C 6 眼段和C 7 交通段。分支分布于视器和脑

图1-1-16 经第四脑室侧孔轴位切面
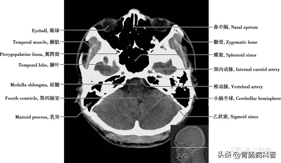
翼腭窝 位于颞下窝前内侧,上颌骨(或上颌窦后壁)与翼突之间,前界为上颌骨,后界为翼突及蝶骨大翼前界,顶为蝶骨体下面,内侧壁为腭骨的垂直部。窝内有颌内动脉、上颌神经及蝶腭神经节。翼腭窝向外经翼上颌裂通颞下窝,向内上经蝶腭孔通鼻腔,向前经眶下裂通眼眶,向后上经圆孔通颅中窝,借翼管通颅底外面,向下移行于腭大管、腭大孔通口腔

图1-1-17 经第四脑室正中孔轴位切面
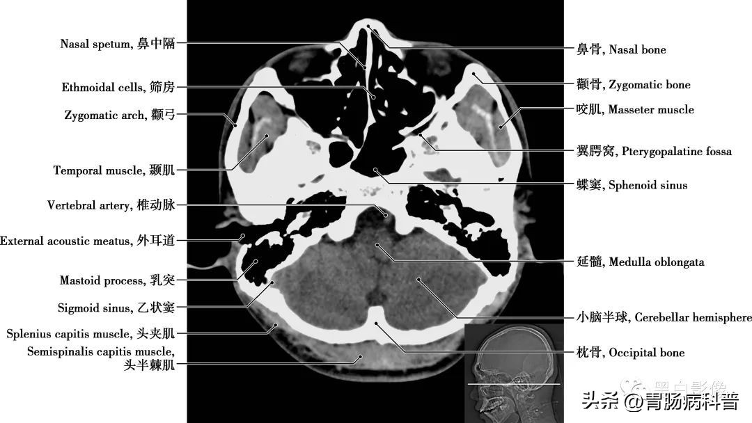
延髓 居于脑的最下部,与脊髓相连,上接脑桥,其主要功能为控制基本生命活动,如控制呼吸、心跳、消化等。延髓向下经枕骨大孔连接脊髓。乳突 位于鼓室的后下方,为外耳门后方的骨性突起,含有许多大小不等的气房,称乳突小房,各气房彼此相通,与鼓室之间的鼓窦相通

图1-1-18 经下颌头轴位切面
枕大池 又称小脑延髓池,位于颅后窝的后下部,小脑下面、延髓背侧面与枕鳞下部三者之间。向前经小脑溪通第四脑室;向前外经延髓侧面通延髓池。咽鼓管 咽鼓管从鼓室口向内、向前、向下直到咽口,是沟通鼓室与鼻咽部的通道,软骨部平时闭合,仅在吞咽或呵欠时开放,以平衡中耳和外耳的气压,有利于鼓膜的正常振动

图1-1-19 经小脑扁桃体轴位切面
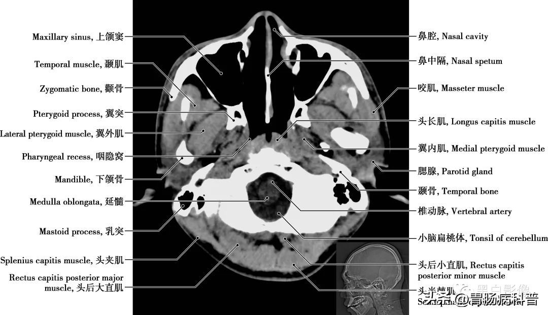
上颌窦 为上颌骨体内的锥形空腔,位于上颌骨体内,窦壁为骨质,覆黏膜,向内侧开口于中鼻道,分为一底、一尖及前、后、上、下四个壁。由于窦口高于窦底部,故在直立位时若有炎性物不易自然流出。外耳道 为外耳门至鼓膜的管道,呈弯曲状,由外向内,先向前上,继而稍向后,弯向前下

图1-1-20 经枕骨大孔轴位切面
小脑扁桃体 小脑下面靠小脑蚓两侧小脑半球的突起称小脑扁桃体。鼻中隔 把鼻腔分成左右两部分的组织,由骨、软骨和黏膜构成。鼻中隔骨结构由筛骨垂直板、犁骨和鼻中隔软骨共同构成,多偏向一侧。腮腺 最大的一对唾液腺,位于两侧面颊近耳垂处
(二)骨窗轴位解剖图


图1-2-1 经顶骨轴位切面
顶骨 位于颅盖的中部,左右各一,呈四边形,为外凸内凹典型的扁骨

图1-2-2 经上矢状窦轴位切面
矢状缝 两顶骨之间所成的缝隙,呈矢状位走行

图1-2-3 经中央旁小叶上部轴位切面
额骨 位于前额处,分为三部分,即额鳞,大而垂直,在前额;眶部,环状或水平,对眼眶顶部和鼻腔的形成至关重要;鼻部,与鼻骨和颌骨的额突在鼻根部形成关节,其前与筛骨和鼻骨相连,后通过冠状缝与顶骨相连

图1-2-4 经中央旁小叶下部轴位切面
冠状缝 顶骨与额骨之间的骨缝,呈冠状位走行

图1-2-5 经半卵圆中心轴位切面
矢状缝 两顶骨之间所成的缝隙,呈矢状位走行

图1-2-6 经扣带回轴位切面
人字缝 枕骨与顶骨形成的缝隙,形状似“人”字

图1-2-7 经侧脑室体部轴位切面
枕骨 位于颅骨的后下份,呈瓢状,其前下部有枕骨大孔,侧部的下方有椭圆形的关节面,称枕髁

图1-2-8 经胼胝体膝部轴位切面
额骨 位于前额处,分为三部分,即额鳞,大而垂直,在前额;眶部,环状或水平,对眼眶顶部和鼻腔的形成至关重要;鼻部,与鼻骨和颌骨的额突在鼻根部形成关节,其前与筛骨和鼻骨相连,后通过冠状缝与顶骨相连

图1-2-9 经室间孔轴位切面
枕骨 位于颅的后下份,呈瓢状,其前下部有枕骨大孔,侧部下方有椭圆形的关节面,称枕髁

图1-2-10 经第三脑室轴位切面
额窦 位于额骨内,眉弓的深方,以中隔分为左、有两部分。窦口朝下后下,多开口于中鼻道前部的筛漏斗。由于窦的出口低于窦底部,故患炎症时易于引流

图1-2-11 经大脑脚轴位切面
眶顶 即眶上壁,前部为额骨水平板,后部为蝶骨小翼。鸡冠 筛板的前份向上伸出的骨嵴

图1-2-12 经脑桥轴位切面
筛窦 筛骨迷路内蜂窝状小房的总称,前、中筛窦开口于中鼻道,后筛窦开口于上鼻道。蝶骨小翼 从蝶骨体部前上方向左右平伸,小翼后缘是颅前窝和颅中窝的分界线,其根部有视神经管通过,两视神经管内口之间有视交叉沟联系。蝶窦 位于蝶骨体内,中间以薄骨板分隔成左、右两腔,分别向前开口于蝶筛隐窝。蝶窦上壁与垂体和视交叉等相邻

图1-2-13 经海绵窦轴位切面
蝶骨大翼 由蝶骨体部平伸向两侧,继而上翘,可分三个面,脑面位于颅中窝,眶面朝向眶,颞面向外向下。在蝶骨大翼近根部处由前向后可见圆孔,卵圆孔和棘孔,从棘孔入颅的脑膜中动脉在骨面上留有动脉沟。其后缘是颅后窝和颅中窝的分界线

图1-2-14 经第四脑室中央轴位切面
颞骨岩部 岩部前上面位于颅中窝,中部有一弓状隆起,外侧为鼓室盖,靠近锥体尖处,有稍凹的三叉神经压迹;其后上面位于颅后窝,近中央处有内耳门。后上面和前上面相接处为岩部上缘。岩部下面近中央部有颈动脉管外口,颈动脉管在岩部内侧半通过,在锥体尖处形成颈动脉管内口;外口的后方为颈静脉窝,它与后方枕骨上的颈静脉切迹围成颈静脉孔

图1-2-15 经第四脑室下部轴位切面
耳蜗 为内耳的一个解剖结构,和前庭迷路一起组成内耳骨迷路,是传导并感受声波的结构,位于骨前庭的前内侧,形似蜗牛壳,耳蜗的中轴称蜗轴,呈圆锥形,由一条骨蜗螺旋管环绕蜗轴旋转二又四分之三圈而成

图1-2-16 经第四脑室侧孔轴位切面
颈内动脉 分为颅外段又称颈段,自颈总动脉分叉处至颅底。颅内段分为七段:C 1 颈段、C 2 岩段、C 3 破裂(孔)段、C 4 海绵窦段、C 5 床段、C 6 眼段和C 7 交通段。分支分布于视器和脑

图1-2-17 经第四脑室正中孔轴位切面
翼腭窝 位于颞下窝前内侧,上颌骨(或上颌窦后壁)与翼突之间,前界为上颌骨,后界为翼突及蝶骨大翼前界,顶为蝶骨体下面,内侧壁为腭骨的垂直部。窝内有颌内动脉、上颌神经及蝶腭神经节。翼腭窝向外经翼上颌裂通颞下窝,向内上经蝶腭孔通鼻腔,向前经眶下裂通眼眶,向后上经圆孔通颅中窝,借翼管通颅底外面,向下移行于腭大管、腭大孔通口腔

图1-2-18 经下颌头轴位切面
卵圆孔和棘孔 在蝶骨大翼近根部处由前向后可见圆孔、卵圆孔和棘孔,圆孔内走行上颌神经,卵圆孔内走行下颌神经,棘孔内走行脑膜中动脉。颈动脉管 是颈内动脉进入颅腔的管道,在颞骨岩部内弯曲形成一定角度,再经颈动脉管内口于破孔处离开颈动脉管进入颅内

图1-2-19 经小脑扁桃体轴位切面
上颌窦 上颌骨体内的锥形空腔,位于上颌骨体内,窦壁为骨质,窦壁覆黏膜,向内侧开口于中鼻道,分为一底、一尖及前、后、上、下四个壁。由于窦口高于窦底部,故在直立位时若有炎性物不易自然流出。鼻泪管 为一膜性管道,上部包埋在骨性鼻泪管中,与骨膜紧密相结合;下部在鼻腔外侧壁黏膜深面,下部开口于下鼻道外侧壁的前部

图1-2-20 经枕骨大孔轴位切面
翼突 为蝶骨一部分,从蝶骨体与蝶骨大翼连接处下垂,向后敞开成为内侧板和外侧板,根部贯通一矢状方向的细管,称翼管,向前通入翼腭窝。下鼻甲 有两块,呈卷曲样,形成鼻腔外侧壁的一部分。起到空气进入肺以前的循环及过滤作用




















